Star Lotulelei impressed scouts during Pro Day workouts today with a 30 inch vertical leap, 38 reps at 225 pounds on the bench press, a 4.65 shuttle run and a 5.15 40 yard dash time. Those are frighteningly good numbers for a 6’2”, 311 pound defensive lineman.
Unfortunately, it’s another number – the percentage of how well his heart is functioning – that will determine whether Lotulelei’s draft position matches his athletic ability. And he may have very little control over that number and the decision-making that follows.
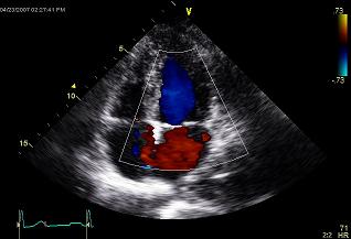
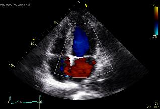
Lotulelei was held out of position workouts at the Combine last month after an echocardiogram showed his heart wasn’t pumping normally. His ejection fraction, a measure of how efficiently the heart is pumping, was reportedly 44% (cardiologists consider a heart pumping with an efficiency of 55-70% to be healthy). A source in Indianapolis told Mike Garafolo that it was hoped that Lotulelei’s low EF was related to dehydration, weight loss and/or a high sodium diet while training.
At the time, I found it interesting that Garafolo’s source specifically mentioned both dehydration and a high sodium diet as possible contributing factors. It’s likely that Lotulelei had other simple and routine laboratory testing performed during the pre-medical process that may have supported that explanation. Since the Combine, Lotulelei has undergone a battery of additional tests to rule out more severe, non-reversible causes. It’s a good sign that he was cleared to work out in preparation for his Pro Day and that he performed to expectations. That could mean that Lotulelei has test results in hand showing that his ejection fraction is now normal.
But the book is far from closed for NFL medical personnel who will have to make a decision on Lotulelei. They’ll get a chance to review those recent tests and conduct more of their own during the early April followup medical exam period in Indianapolis. I think it’s safe to assume that Lotulelei’s followup testing after the Combine did not reveal a severe, irreversible heart condition that would preclude him from strenuous athletic activity. That leaves two possible scenarios.
Scenario 1: Lotulelei’s followup testing and any additional testing in Indianapolis shows improvement, but still below normal function, without a clear, established diagnosis.
People with an ejection fraction of 44% may not be symptomatic (e.g. easily fatigued, short of breath, difficulty sleeping). Many people won’t have symptoms of a failing heart until their ejection fraction is below 35-40%. It’s also known that some athletes with healthy hearts have a low normal ejection fraction (in the 50-55% range) when they’re at rest. Additional testing and comparisons to previous studies (both before, if available, and after the February result) could shed light on those issues. But it’s also possible that teams won’t have a clear answer on Lotulelei’s health by draft day. If this scenario plays out, teams will have a hard time clearing Lotulelei to play and will certainly struggle to invest a high draft pick in a player whose long term health remains in question.
Scenario 2: Lotulelei’s followup testing and any additional testing in Indianapolis shows no abnormalities and a normal ejection fraction.
This is the best case scenario for Lotulelei’s long term health, draft stock and NFL career. But teams will still have questions. Can a team trust that the test result was falsely low due to work out related stresses? Will specialists feel fully confident that Lotulelei won’t have future issues when subjected to the six month grind of training camp and the regular season? Teams could take Lotulelei off their draft boards even if he’s carrying a clean sheet of cardiology testing after Indianapolis.
So, while the Pro Day numbers are nice, they’re irrelevant – for now. It’s too soon to say whether the 38 bench press reps or the still-unreported followup ejection fraction percentage will be the number that defines his NFL career.
Categories: Injury Updates

14 Players at Risk of a Medical Red Flag on Draft Day
More Surgery Necessary For Rob Gronkowski?
Rob Gronkowski: Three Surgeries, One Impressive Scar
Deferring Your Combine Workout: Red Flag or Good Business Decision
I wish this was a less serious topic on a less respected blog so that I could make lewd japes about “ejection fraction”. Unfortunately this is yet another informative post by a venerable doctor. Damn you and your professionalism, sir.
Keep up the great posts.
All this time I knew you were an expert on NFL defensive schemes, but I didn’t realize you were also a doctor. Great post.