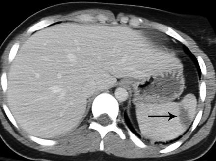
According to multiple sources, Witten suffered an injury to his spleen Monday night. Ed Werder is reporting that the Cowboys “have not determined the seriousness of the injury” and that early evaluations indicate that his spleen is not ruptured despite post-game imaging studies that showed some internal bleeding. Surgery is not expected to be necessary, but has yet to be ruled out.
I spoke with a general surgeon this morning to discuss splenic injuries and likely outcomes and was told that Witten most likely has a low grade laceration of his spleen as higher grade injuries nearly always require immediate surgical intervention.
Low grade lacerations are associated with bleeding in and around the spleen but do not involve the major blood vessels surrounding the spleen. The decision to observe versus operate has long been controversial for splenic injuries, but most low-grade lacerations are observed closely with blood tests and imaging studies to ensure that the bleeding resolves on its own.
The concern with a low-grade laceration is delayed rupture, which can occur if the laceration continues to enlarge through the capsule of the organ due to inflammation around the capsule tissue or continued slow expansion of a hematoma under the capsule itself. It’s difficult to say exactly what the risk of delayed rupture, but most studies suggest the risk extends to 7-14 days after the initial injury and show that most delayed ruptures occur with the first ten days. That likely explains the reports that Witten isn’t expected to have surgery, but that it hasn’t been ruled out.
If Witten experiences no further complications during the next two weeks, he could be quickly cleared for light activity but clearance for contact will take much longer. There’s no standard timetable for the resolution of the hematoma surrounding the spleen and healing of any damage to the capsule.
The surgeon I spoke with noted that athletes were once restricted from contact for three months, but that current estimates are highly dependent on the severity of the injury and how quickly healing is observed on follow-up imaging. If Witten’s injury is a Grade 1 laceration, 4-6 weeks is a reasonable expectation, with 6-8 weeks a more conservative estimate.
Should Witten experience more bleeding and need further intervention, an embolization procedure to artificially clot off the bleeding vessel or surgery are possible options. The timetable for his return with those procedures would be variable and surgery wouldn’t necessarily rule him out for the season.
Bottom line: It’s too early to say for certain, but odds are that Witten misses at least one regular season game. Conservative estimates could have him out until after the Cowboys’ Week 5 bye.
Categories: Injury Updates

14 Players at Risk of a Medical Red Flag on Draft Day
More Surgery Necessary For Rob Gronkowski?
Rob Gronkowski: Three Surgeries, One Impressive Scar
Star Lotulelei: Why His Pro Day Workout May Be Irrelevant
As always, your evaluations are the best in the business. Looking forward to the IDP round-table this week.
No doubt you are independently wealthy so such concerns as having a pay-for-premium-content website makes you laugh. Nevertheless should you ever wanted to make a premium pay section for this awesome information you can count me in.