Author Archives
-
News and Notes (8/27): Stafford, DeCastro, Stewart, Mathews, more
Matthew Stafford broke a blood vessel in his hand This injury sounds scarier than it actually is. Stafford said he was “freaked out” to see his hand get larger by the second, but that’s not uncommon when a blood vessel… Read More ›
-
News and Notes (8/22): Vick, Peterson, Nicks, Baldwin and more
Michael Vick has bruised ribs Multiple forms of imaging (x-ray, CT and MRI) showed no broken bones or cartilage damage to Vick’s rib cage yesterday. Vick’s injury will require rest and additional treatment, however, and it’s no surprise that Vick won’t… Read More ›
-
Dez Bryant: Deciphering the Patellar Tendinitis Diagnosis
An MRI on Bryant’s injured knee reportedly showed patellar tendinitis yesterday. That was a reassuring finding after Bryant limped off the field after running a route and was unable to finish practice, leading to fears that Bryant may have sprained… Read More ›
-
News and Notes (8/20): Collie, Jennings, Mendenhall, Sproles and more
Austin Collie evaluated for concussion The Colts confirmed late this afternoon that Collie did suffer a concussion after taking a forearm from Larry Foote last night. He’s being called day-to-day, but Collie’s observation period is sure to be of interest… Read More ›
-
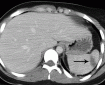
Jason Witten and Splenic Injuries
According to multiple sources, Witten suffered an injury to his spleen Monday night. Ed Werder is reporting that the Cowboys “have not determined the seriousness of the injury” and that early evaluations indicate that his spleen is not ruptured despite post-game imaging… Read More ›
-
News and Notes (8/14): Urlacher, Helu, Moore, Nicks, Angerer
Brian Urlacher has arthroscopic knee surgery Urlacher said that he’ll do everything he can to return in time for the season opener in a little less than four weeks, but there are reasons to be concerned. Although it’s not uncommon… Read More ›
-
News and Notes (8/13): Mathews, Jennings, Bishop, Peterson, Leshoure, Dunlap
Ryan Mathews was very optimistic in his first press conference after surgery last week, meeting reporters without a sling and suggesting he’ll beat the 4-6 week estimate given by Norv Turner. None of this is unexpected, of course. The next… Read More ›
-
Ryan Mathews Out 4-6 Weeks With Broken Clavicle
Mathews left last night’s game with what appeared to be an innocuous shoulder injury to many last night. Unfortunately, the injury turned out to be a fractured clavicle and an early 4-6 week estimate for his possible return. It’s important… Read More ›